BARUNSON DENTAL CLINIC
가족을 대하는 마음으로,
가족을 대하는 마음으로,
진심과 정성을 전하는 치과
치과 치료가 무섭고 부담스럽게 느껴지셨다면,
저희는 조금 다르게 다가가겠습니다.
정확한 진단과 과학적 근거에 기반한 치료로
당신의 미소를 지켜드립니다.
-
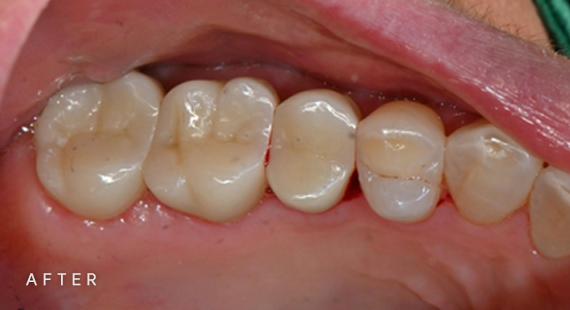
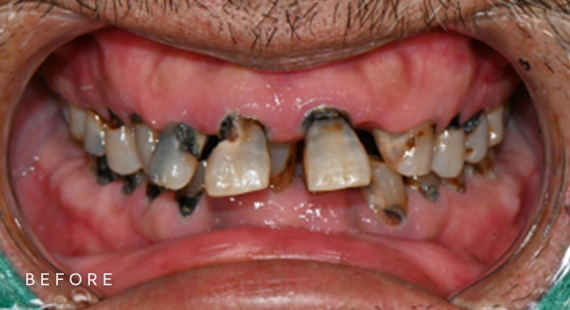
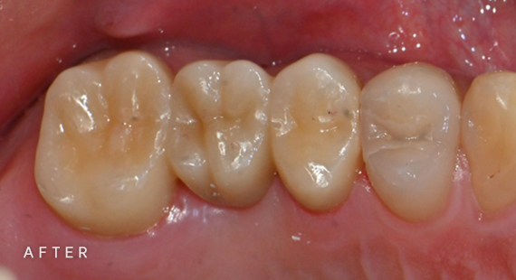
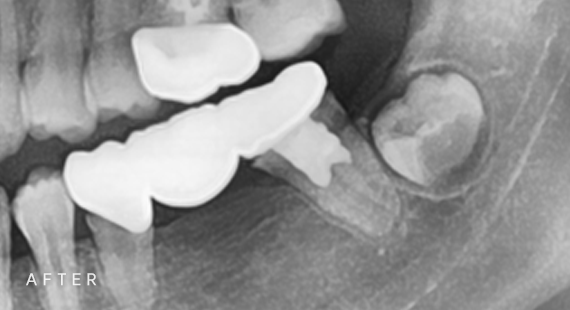
임플란트
-
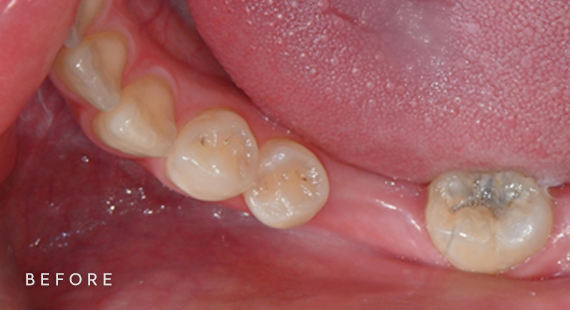
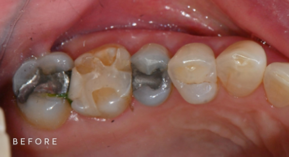
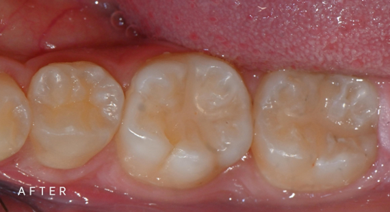
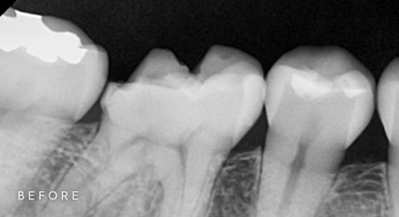
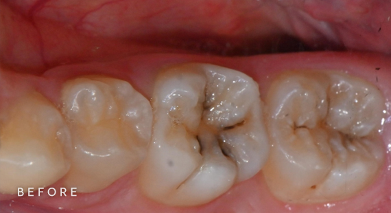
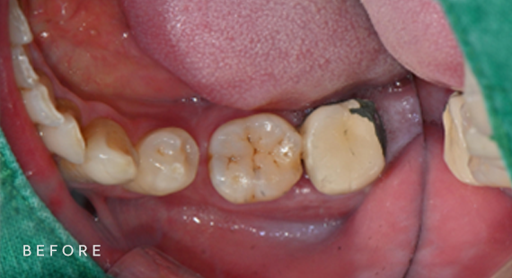
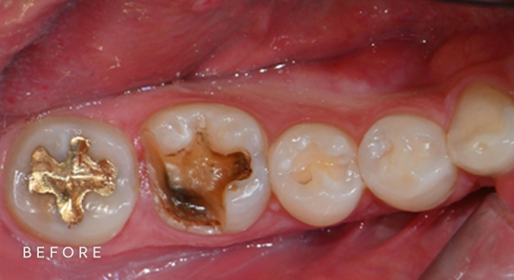
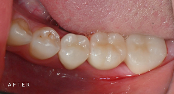
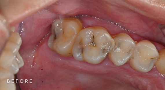
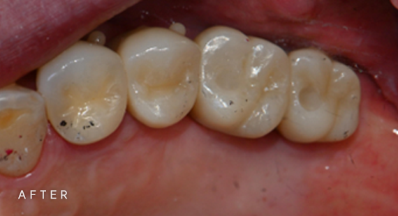
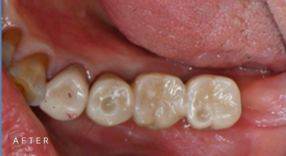
충치치료
-
신경치료
-
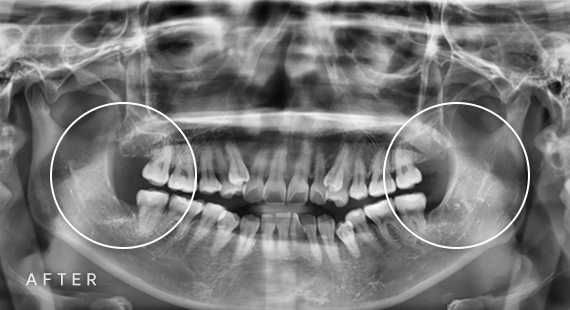
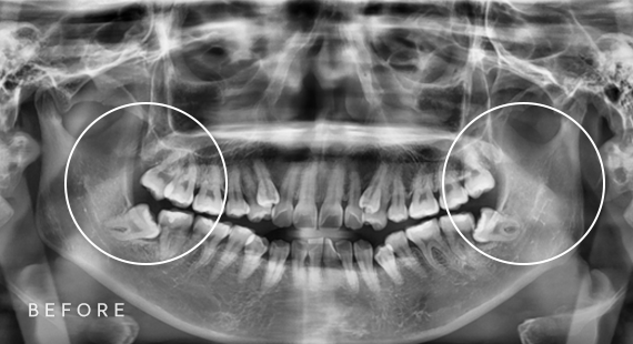
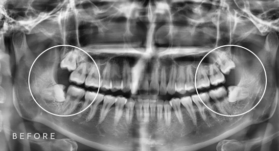
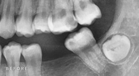
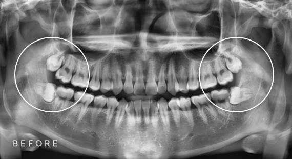
사랑니 발치











